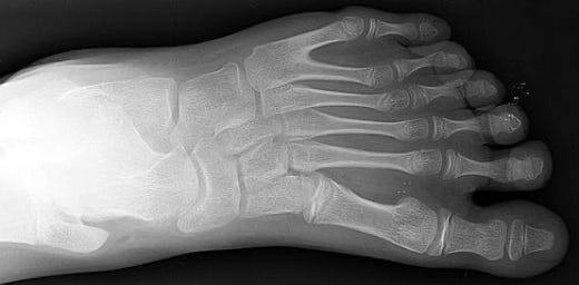
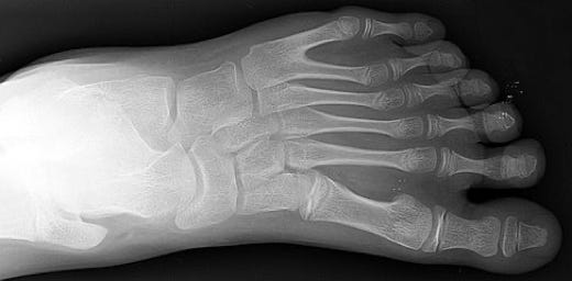
Henry Pious' sixth toe
Henry II the Pious (1196??-1241) was Duke of Silesia and High Duke of Poland. He was married to Anna of Bohemia who was the daughter of King Ottokar I of Bohemia, and they had ten, some say even eleven children. In January 1241 Poland was invaded by the Mongols commanded by Orda Ichen, who after ravaging Rus decided to attack Hungary via Poland. Henry II, after being refused help by Emperor Frederick II and King Bella IV of Hungary decided to concentrate his troops near the town of Legnica in western Poland. The battle of Legnica took place on 9th of April 1241 and the Polish army was soundly defeated and Duke Henry II was killed and beheaded. His headless and naked body was so badly mutilated that later it could only be identified by his wife. Some may wonder how could a wife who bore at least 10 children to her husband identify his mangled body? And, yes, while your line of thinking may sometimes bear fruit, it wasn’t that you dirty scoundrels. He lived 800 years ago, there was no electricity in those days, procreation was performed in complete darkness, hence the name the Dark Ages. She was able to tell her husband apart from the other corpses not because of his middle leg, but because of his polydactyly. Now, what kind of a bird is polydactyly? Actually it’s not a bird, but an additional finger or toe that some people happen to have on their bodies. And Henry happened to have six toes on his left foot.
The fact that he indeed had six toes on his left foot was corroborated in 1832 when his tomb was opened. After that his remains were buried in the Franciscan Church of Sts Vincent and Jacob in Wrocław (in those days called Breslau).
And then, more than a hundred years later, in 1944, at the very end of the second World War, Henry the Pious’ body went missing after being taken from its tomb by German “scientists” who had hoped to prove that the prince was Aryan, meaning Caucasian, meaning non-Jewish. I’m not sure how those “scientists” intended to prove it since his potentially circumcised virile member must have been necrotized or completely gone for at least 700 years, or what caused the rumours that he might’ve been a Jew, and why was it so important for the Nazis in 1944, while their own arses and schlongs were so badly whipped by all the Allied armies, to know that a 13th century Polish duke was a Jew or not, which he wasn’t, is simply beyond my knowledge or even guessing powers. My personal feeling though is that any ideology eventually breeds more incompetence than wisdom.


